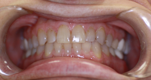
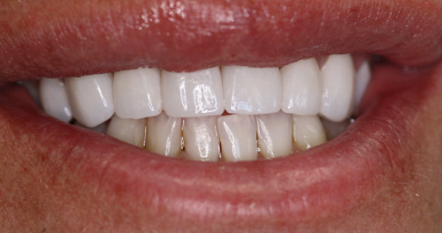
Smile Gallery

Smile Transformation in St. George, UT

New Smiles. Changed Lives.

Smiles

Creating beautifully healthy smiles to positively impact lives. 

We can’t wait to meet you

Connect

Call (435) 673-9606 or request an appointment online to set up your first visit. We’ll be in touch soon.